四川新闻网-首屏新闻
近日,首都医科大学附属北京安贞医院南充医院·南充市中心医院(以下简称“北京安贞医院南充医院”)通过实施肾动脉造影球囊扩张支架植入微创手术,为一名难治性高血压患者解除疾病困扰。
患者杨先生有多年的高血压和糖尿病病史,近几个月他的血糖一直控制不佳,血压更是一路飙升,收缩压最高能达到180-200mmHg。即便他按时服用三种降压药,血压却依旧顽固不降,还时常感觉头胀难受。为寻求治疗,杨先生来到北京安贞医院南充医院内分泌科住院治疗。
在内分泌科医护人员的精心治疗下,杨先生的血糖逐渐稳定下来,可血压却依旧居高不下。经过增强CT检查发现,杨先生双肾动脉出现了斑块,管腔已经重度狭窄。于是,内分泌科邀请介入医学科专家前来会诊。经过会诊,杨先生被确诊为:双肾动脉狭窄、高血压急症、慢性肾衰竭(伴有肾性贫血、代谢性酸中毒以及肾性高血压)。
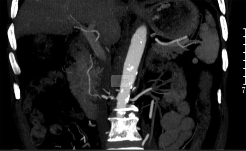
![]() |
| 术前CT |
双肾动脉狭窄究竟是怎么影响血压的呢?原来,当双肾动脉重度狭窄时,肾脏会因为缺血启动自身的保护机制,激活肾素——血管紧张素——醛固酮系统。这个系统一旦被激活,身体的动脉血管就会收缩,从而升高血压,以此来增加肾脏的血液供应。可这样一来,血压就像脱缰的野马,持续升高且难以控制。
介入医学科团队会诊后,经过详细的术前讨论与准备,决定科主任胡鸿为其实施肾动脉造影球囊扩张支架植入微创手术。术中,胡鸿从杨先生右侧股动脉穿刺置入鞘管,再用微导丝小心翼翼地穿过狭窄的血管,接着用球囊扩张支架成功撑开了狭窄的血管,让肾脏的供血得到明显改善,从根源上消除了导致血压升高的罪魁祸首。术后,杨先生的血压逐渐降了下来。如今,他情况稳定,只需要口服一种降压药,就能把血压控制得很好。
![]() |
| 术中植入支架 |
“像杨先生这类继发性高血压仅靠口服降压药,往往很难达到理想的控制效果。要是血压长期控制不好,患者很容易发生脑梗、脑出血等严重疾病,危及生命。”胡鸿介绍,“通过血管介入治疗植入支架,解除肾动脉狭窄,改善肾脏供血,能从根本上控制血压。”
高血压的危害不容小觑!在生活中,高血压十分常见,但有些患者血压高得离谱,吃了很多药都不管用,这时候就要警惕,可能是其他原因导致的。长期的高血压以及伴随的危险因素,会加速动脉粥样硬化的形成。这种病变主要影响中、大动脉,进而对心脏、大脑、肾脏等重要器官造成损害。高血压分为原发性高血压和继发性高血压。
原发性高血压,也叫高血压病,主要表现为血压升高。这类高血压的病因尚不明确,在高血压患者中占比超过90%。目前,虽然没办法彻底根治,但通过治疗可以有效控制。少数患者会出现头痛、头晕、眼花、心悸、肢体麻木等症状。到了晚期,这些症状会加重,还会引发心、脑、肾等器官的病变,出现动脉硬化、脑血管意外、肾脏病等严重后果。
继发性高血压,又叫症状性高血压,它是由其他已知疾病引起的血压升高,血压高只是这些疾病的症状之一,在高血压患者中占5%-10%。如果能治好引发高血压的原发病,血压也就会随之恢复正常。继发性高血压常有以下特点:大多数患者发病年龄较小;血压数值很高;降压难度较大;会出现引起血压升高的原发疾病的相关症状。
什么是肾动脉狭窄呢?肾动脉狭窄,简单来说,就是肾动脉的管腔变窄了,导致血液无法顺畅流通,这不仅会影响循环系统的正常功能,严重时还会损害肾功能。肾动脉狭窄是继发性高血压最常见的病因之一,主要由动脉粥样硬化引起。
如果怀疑患有肾动脉狭窄,一般首选非侵入性的超声检查来进行诊断。对于那些没有症状、偶然发现的肾动脉狭窄患者,通常不需要进行血运重建治疗(即通过手术或介入方法恢复缺血组织血液供应的治疗手段)。而对于有症状且需要血运重建的患者,肾动脉支架植入术是目前首选治疗方法。
此外,所有肾动脉狭窄患者都应该按照医学指南进行规范的药物治疗,包括控制血压、血糖,服用他汀类药物,进行抗血小板治疗,同时还要戒烟。
(供稿/供图:北京安贞医院南充医院 王健 邱世香)
本网(平台)所刊载内容之知识产权为四川新闻网传媒(集团)股份有限公司及/或相关权利人专属所有或持有。未经许可,禁止进行转载、摘编、复制及建立镜像等任何使用。
四川新闻网违法和不良信息举报电话:028-85327203。

